1) What are the advantages and disadvantages of using this drill?中空フライスドリルを使用しての長所と短所は何ですか?
長所
骨採取ができる(自家骨が使える、採取部位と術野が同部位ですむ)
3.5㎜のツイストドリルと同じ直径なので4.1㎜のインプラント植立が可能である
ぶれにくい (単一指向性)
骨質の影響によるドリリングの影響を受けにくい
見当が付けやすい
ガイデッドサージェリーのスターティングドリル
術式をシンプルにする可能性がある(使うドリルが少ない)
手術時間の短縮にも繋がる
短所
単一指向性(方向修正しにくい)
オーバーヒート(注水、回転数を減じることで解消)
最初のステップでぶれて骨に入りにくい(これは逆回転で解消できる)
2) Can you recommend using this drill to a less experienced dentist?経験の少ない先生にも中空フライスドリルの使用を推奨しますか?
残園ながら経験の少ない先生に推奨はできません。
あくまで熟練した先生のオプションの一つです。
3) Do you have some pictures/photos of your drill sequence that you can send to us?中空フライスドリルを使用するときの手順の写真がありましたら見せて頂けないでしょうか?
私は1992年よりボーンフィットインプラントを2000人の患者さんに約4500本 20年にわたり臨床応用してまいりました。当時の中空スクリューインプラントを形成するときに使用したトレフィンバーの利点を今日のインプラント床形成、また骨採取に応用しております。フライスドリルの有用性は多岐にわたりあります。もちろん熟練した先生のオプションの一つであることは確かです。クリッケラー先生が骨尖採取の鉗子を開発された理由もあり、フライスドリルの使用、形成方法は一昨年亡くなられたITI名誉フェロー添島義和先生も推奨されてました。今でも従来の深度ゲージも使いやすく臨床応用しておりますし、古いインプラントマウントもガイデーッドサージェリーでガイドを固定するために応用しております。日本人のことわざで温故知新という言葉があります。以前開発されたものをもう一度見直してみることで今後の新しい発見があることと思います。

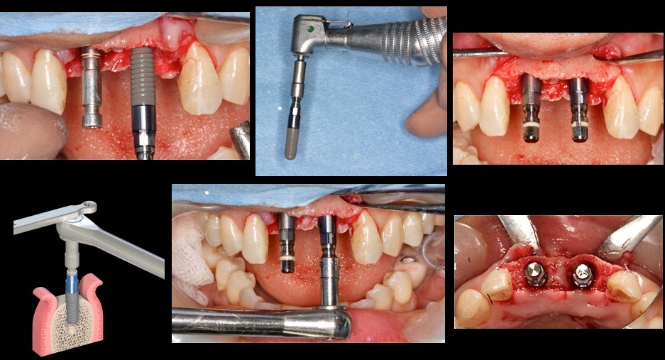
上顎中切歯 抜歯即時のケース

上顎前歯部フライスドリルで形成(直径3.5㎜)埋入インプラントは10㎜の計画であるがフライスドリルでは14㎜まで骨採取のために形成する 深度ゲージで深度確認 形成部位に骨尖を確認することができる(左上1)(右上1はすでに骨採取後)

クリッケラー先生考案の骨採取の鉗子にて骨尖採取

インプラント埋入 抜歯窩とインプラントに空隙があることがわかる

この部位に中切歯2本分の骨尖を砕いて隙間に填塞する 右下の写真で十分填塞できていることが確認できる。

術後3ヶ月 印象時の軟組織の状態

場合によってはフライスドリルで直接骨採取も可能

ガイドサージェリーのスターティングに また形成にもガイドの動揺を最小限にすることができる。ひいては所定の位置に近い埋入が可能になる

傾斜埋入の際の形成にもドリルのずれが無く、ガイドを揺さぶることも起こりにくい

フライスドリルは骨質の不均一な部位に応用する

温故知新 従来のマウントでガイドを固定している